Das klinische Spektrum von Neurofibromatose Typ 2 ist breit. Da meist typische Hautsymptome fehlen, bleibt sie oft länger unbemerkt.
Es können Veränderungen der Knochen sowie größere, plexiforme Tumoren auftreten. Tumorbildung kann an verschiedensten Nerven, im Gehirn und im Rückenmark auftreten. Häufig treten sie im Bereich des Hör- und Gleichgewichtsnervs auf (sog. Akustikusneurinome). Daher wird die Diagnose NF2 oft dann gestellt, wenn Hörstörungen, Gleichgewichtsprobleme und andere neurologische Beschwerden auftreten, deren Ursache in einer entsprechenden Tumorbildung gefunden wird.
NF2-Tumore können Tumore, in den Bereichendes Hörnervs, der Hirnhaut, der W5 oder des Rückenmarks auftreten.

Neurofibromatose Typ 2 NF2 Tumor Hörnerv Hirnhaut Rücken Wirbelsäule Bundesverband

Neurofibromatose Typ 2 NF2 Tumor Rückenmark Hirnhaut Rücken Wirbelsäule
Checkliste NF2 Merkmale
Neurofibromatose Typ 2 wird durch eine Genmutation auf dem Chromosom 22 verursacht
Für die Diagnose Neurofibromatose Typ 2 müssen mindestens zwei der folgenden Merkmale vorliegen:
Bilaterale Akustikusneurinome (beidseitiger Tumor des Hörnerven)
oder
Verwandter 1. Grades mit NF2 und
Bei Menschen mit den folgenden Merkmalen ist eine NF2 möglich bzw. wahrscheinlich:
Diese Checkliste kann eine ärztliche Diagnose nicht ersetzen!
Wenden Sie sich bei weiteren Fragen gerne an unsere Beratung.
NF2 Symptome
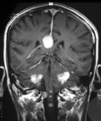
Wie schon erwähnt findet man bei 90 % der Betroffenen bei einer Kernspintomographie des Schädels ein beidseitiges Akustikusneurinom.
Die klinischen Symptome (Beschwerden, die die Patienten selbst bemerken und dem Arzt berichten) einer Läsion des Nervus vestibulocochlearis (Hör- und Gleichgewichtsnerv) durch eine Raumforderung im Kleinhirnbrückenwinkel sind folgende: Hörminderung (98 %), Tinnitus (Ohrgeräusch) (70 %), Gleichgewichtsstörung (67 %), cerebelläre Ataxie (Gangunsicherheit), Kopfschmerzen (32 %) und Taubheit (32 %) und Lähmung (10 %) im Bereich des Gesichtsnerven.
Die klinischen Zeichen (Veränderungen, die die Patienten selbst nicht bemerken, die aber ein Arzt bei einer körperlichen Untersuchung feststellen kann) einer Läsion des Nervus vestibulocochlearis (Hör- und Gleichgewichtsnerv) durch eine Raumforderung im Kleinhirnbrückenwinkel sind folgende: Störung des Cornealreflexes (33 %), Nystagmus (26 %), Hypästhesie im Bereich des N. facialis (26 %).
Bei technischen Untersuchungen ergeben sich folgende Befunde: Neben den typischen Befunden der Bildgebung (Erweiterung des Porus acusticus internus (Öffnung des Gehörganges) im Knochenfenster des Nativ-CCT, Kontrastmittelaufnahme der Tumoren) findet man eine Eiweißvermehrung im Liquor und pathologische Befunde bei den akustisch evozierten Potentialen. Ein Nystagmus lässt sich auch mit Hilfe einer Elektronystagmographie mit calorischer Stimulation charakterisieren.
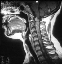
Ebenso häufig wie am Hörnerv finden sich spinale (das Rückenmark betreffende) Raumforderungen (in der Medizin bezeichnet der Begriff Raumforderung in vielen Fällen eine Gewebswucherung).
Bei den Patienten mit einer Neurofibromatose Typ 2 werden die cranialen (den Schädel betreffenden) Raumforderungen fast immer symptomatisch (z.Bsp. Hörminderung). Die spinalen Raumforderungen werden aber nur in ca. 40 % der Fälle symptomatisch.
Die spinalen Tumoren werden in zwei Gruppen unterteilt.
Einmal findet man intramedulläre Raumforderungen. Damit sind Tumoren gemeint, die sich in der Gewebssubstanz des Rückenmarkes finden. Hier findet man vor allem Astrozytome und Ependymome.
Zum anderen finden sich extramedulläre Raumforderungen. Hiermit meint man Tumoren oder Gewebsveränderungen, die sich im Rückenmarkskanal, aber außerhalb der Rückenmarkssubstanz befinden. Der extramedulläre Raum ist der Spalt zwischen der Oberfläche der Rückenmarkssäule und der knöchernen Wand des Rückenmarkskanales innerhalb der Wirbelsäule. In diesen Fällen treten vornehmlich Schwannome und Meningeome auf.
Die Meningeoangiomatose ist eine Läsion des zentralen Nervensystems mit plaque-ähnlichem Wachstum von Zellen um einzelne Gefäße, die bei NF II auch multifokal auftreten können.
Gliale Hamartien sind umschriebene atypische Zellcluster des Hirnparenchyms. Intrakranielle Kalzifikationen werden gehäuft bei Neurofibromatose Typ 2 beobachtet.
Etwa 50 % der Patienten haben Tumoren im Bereich der Hirnnerven oder Meningeome.
Schwannosen sind kleine Zellproliferationen der Nervenscheiden ohne vollständige Tumorausbildung. Sie finden sich bei der Neurofibromatose Typ 2 bevorzugt an den Austrittstellen der Spinalnerven.
Bei großen Tumoren können auch die benachbarten Hirnnerven in ihrer Funktion beeinträchtigt werden. Dies kann sich beispielsweise in Bewegungsstörungen des Gesichtes (7. Hirnnerv) und Schluckstörungen oder Heiserkeit (9. und 10. Hirnnerv ) äußern.
Es gelingt nicht immer, noch vorhandene Teilfunktionen des n.facialis zu erhalten, so dass neben einer kompletten Gesichtslähmung bei Läsionen des Nerven in seinem Felsenbeinkanal fakultativ weitere Begleitsymptome bestehen können.
Die Beeinträchtigung der Tränensekretion zeigt zum Beispiel eine Schädigung nahe des sog. Ganglion geniculi an oder die Abnahme der Speichelsekretion beruht auf einer Schädigung des n.intermedius. 75 % der Facialisparesen ungeklärter Ursache heilen spontan vollständig aus, in 25 % tritt Defektheilung ein.
Bei der unvollständigen Heilung entsteht in einem nicht geringen Teil der Fälle die sog. Facialiskontraktur. Dieses Bild entspricht einer leichten Dauerkontraktion der schlaff gelähmten Muskeln.
Ein sonst seltenes Phänomen bei der Defektheilung sind die so genannten „Krokodilstränen“. Durch eine Fehlinnervation und sozusagen Reizweiterleitung zwischen n.intermedius und n.petrosus major superficialis kommt es dazu, dass beim Essen nicht nur der Speichelfluss angeregt wird, sondern es auch zum Tränenfluss kommt.
Beim Versuch das Auge zu schließen bleibt das Auge offen stehen so dass so dass man die Drehung des Augapfels sehen kann, die das Schließen des Lides auch beim Gesunden begleitet (Bell'sches Phänomen) (Die physiologische Bedeutung dieser Bewegung liegt in der Abwendung der Pupille von den Sehreizen der Außenwelt.).
In etwa 60% der Fälle tritt eine leichte Schwäche des Facialismundastes auf. Im Gegensatz zu dieser klinisch anscheinend eher bescheidenen Rolle der Facialisparese steht dann häufig zur überraschung des Chirurgen bei der Freilegung die Schwere der Nervenkompression. Es hat sich später gezeigt, dass selbst der Ausfall von 50% der motorischen Facialisfasern zu keiner klinisch sichtbaren Parese führt; vorausgesetzt, dass die übrigen 30-50% der Nervenfasern intakt sind.
Nachbarschaftssymptome von Seiten des n.trigeminus (V.Hirnnerv) sind nur dann zu erwarten, wenn der Tumor aus dem inneren Gehörgang herausgetreten ist und eine Größe erreicht hat, die eine Berührung oder Verdrängung des n.trigeminus bewirkt. Das erste Zeichen für eine Schädigung des n.trigeminus ist eine Abschwächung des Cornealreflexes auf der betreffenden Seite. Später kann es dann zu Gefühlsstörungen im Gesicht kommen.
Die meisten der auftretenden Symptome entstehen durch den Druck des wachsenden Tumors auf die Nerven. Lähmungen der Extremitäten betreffen fast ausschließlich ausgedehnte Tumore in späten Stadien. Häufiger geht eine Gangunsicherheit voraus, die durch Druck auf den Hirnstamm oder das Kleinhirn ausgelöst wird.
Bei noch größeren Tumoren kann es zu einer Behinderung der Nervenwasserzirkulation, zu einem so genannten Verschlußhydrozephalus (Störung der Hirnwasserzirkulation) kommen. Der hierdurch bedingte Hirndruck führt zu Kopfschmerzen, Erbrechen und Bewusstseinsstörungen.
Die vollständige Diagnostik umfasst außer einer gründlichen Erhebung der Krankengeschichte und einer umfassenden klinischen Untersuchung: Kernspintomographie (MRT), Computertomographie (CT) und Hörtests (Audiometrie, Sprachdiskrimination. Darüber hinaus kommen klinische Tests und apparative Untersuchungen wie die BERA (Elektrische Potenziale aus dem Hörsystem) zur Anwendung.
Hirnödem
Im Zusammenhang mit dem Thema „erhöhter Hirndruck“ soll hier noch auf das Hirnödem eingegangen werden. Es handelt sich dabei um eine Anschwellung von Hirngewebe entweder in einem umschriebenen Bereich lokal oder im Bereich des gesamten Gehirns. Es resultiert ein raumfordernder Effekt auf funktionstragende Zentren, wodurch neurologische Schädigungszeichen auftreten können.
Das quellende Gehirn kann auch Gefäße komprimieren, was dann zu einer Minderdurchblutung des Gehirns führt, zu Infarkten oder zu einer Verstärkung der Schwellung führt. Im schlimmsten Fall werden intrakranielle Strukturen soweit verlagert, dass sie auf den Hirnstamm drücken können. Dadurch kann eine Schädigung des Atem-/Kreislaufzentrums resultieren, die unter Umständen lebensbedrohlich sind..
Die Behandlung umfasst verschiedene Maßnahmen, gestaffelt nach der Ursache und Schwere des Befundes. So hilft Cortison recht gut gegen ein Tumorödem, Mannitol ist bei Verletzungsfolgen und Schlaganfällen wirksam. In gravierenden Fällen sind eine Senkung des Hirnstoffwechsels durch Narkose bzw. künstliches Koma oder auch chirurgische Interventionen zur Entlastung sinnvoll.
Bei Kindern kann das Auftreten von Neurofibromen ein Hinweis sein für das Vorliegen einer Neurofibromatose Typ II.
Systematische Untersuchungen von Patienten mit einer Neurofibromatose Typ 2 ergaben, dass über 90 % der Erkrankten Augenveränderungen haben.
Die weitaus häufigste Augenveränderung bei der NF2 ist die sogenannte juvenile (im Jugendalter auftretende) subcapsuläre Katarakt (eine Form der Linsentrübung).
Darüber hinaus treten bei manchen NF2-Patienten Gewebsfehlbildungen oder andere Auffälligkeiten im Bereich der Augen auf, die vom Augenarzt untersucht und beobachtet werden sollten.
Die meisten Patienten mit NF2 entwickeln eine Linsentrübung (Katarakt) des Auges, die die Sehfähigkeit beeinträchtigen kann.
Deshalb ist es für alle Menschen mit NF2 wichtig, sich gründlich von einem Augenarzt untersuchen zu lassen, der mit dem Krankheitsbild NF2 vertraut ist.
Häufig kommt es im Verlauf einer NF2-Erkrankung auch zur Schädigung der Augen und dabei zu einer Verschlechterung der Sehfähigkeit. Mehrere unterschiedliche Schädigungen können auftreten, oft in Kombination miteinander.
Bei einer Katrakt handelt es sich um eine Trübung der Augenlinse (grauer Star, Katarakt) die oft im Rahmen der NF2. Bei einem großen Teil der NF2-Betroffenen kommt es schon in jungen Jahren zu einer solchen Linsentrübung
Er führt dazu, dass das gesehene Bild immer mehr an Schärfe verliert oder zum Auftreten von Doppelbildern die sich zum Beispiel beim Betrachten einer gekachelsten Oberfläche besonders deutlich zeigen. Bei an einer fortgeschrittenen Katarakt erkrankten Patienten kann man die graue Färbung hinter der Pupille erkennen.
Während der Ausbildung des Grauen Stars muss eine Brille auf Grund der veränderten Brechkraft häufiger angepasst werden, denn die Verdickung der Linse bedingt eine zunehmende Kurzsichtigkeit. Das bedeutet für den am Grauen Star Erkrankten, dass er oft besser in die Nähe sehen kann als in die Ferne. Dieser Zustand wird in der Anfangsphase durch Angleichen der Brillenwerte ausgeglichen. Helfen diese Maßnahmen nicht mehr, wird die Linse operativ entfernt, und es wird eine Kunststofflinse eingesetzt. Außer dem chirurgischen Eingriff gibt es keine Möglichkeit, den Grauen Star zu behandeln.. Das Entfernen einer vom Katarakt befallenen Linse ist relativ gefahrlos und stellt heute den häufigsten Eingriff am menschlichen Auge dar. Es spielt dabei keine Rolle ob das Auge z.B. durch Trockenheit bereits vorgeschädigt ist oder nicht. Man unterscheidet bei dem Eingriff zwei verschiedene Vorgehensweisen:
Zuerst wird ein Teil der Linsenvorderkapsel entfernt, um dann mittels Ultraschall die Linse zu zerkleinern und abzusaugen. Anschließend wird in den übriggebliebenen Kapselsack eine Kunstlinse eingesetzt. Solche Kunstlinsen sind heute oft aus elastischen Materialien (beispielsweise Silikone oder Acrylverbindungen), um sie in zusammengeklapptem Zustand zu implantieren und anschließend in der Kapsel entfalten zu lassen.
Schon am Tage nach der Operation lässt sich in aller Regel eine wesentliche Verbesserung Ihres Sehvermögens bemerken. Allerdings hat der Patient dann aus verschiedenen Gründen noch nicht die endgültige gute Sehschärfe erreicht. Zunächst müssen die leichten Reizerscheinungen am Auge abklingen. Manchmal kann schon nach mehreren Wochen eine allmähliche Sehverschlechterung auftreten - verursacht durch eine feine Gewebsmembran, die sich als "Nachstar" an der hinteren Linsenkapsel bildet. Durch eine kurze ambulante Behandlung mit Laserstrahl lässt sich das Sehvermögen jedoch wieder normalisieren.
Bei einer nur mäßig dichten Katarakt muss dagegen die zu erwartende Visusverbesserung durch eine Operation gegen den ebenfalls stark Amblyopie fördernden Verlust der Akkommodation (Naheinstellung der Linse) abgewogen werden.
Schielen und Augenzittern
Schielen und Augenzittern werden durch Hirntumoren bzw. durch deren Therapie verursacht. Typisch (wenn auch nicht sehr häufig) kommt es bei NF2 durch eine Abduzens-Parese zu Lähmungsschielen nach innen. Der Abduzens ist der 6. Hirnnerv und verläuft oben im Kleinhirnbrückenwinkel, in dem sich auch die Akustikusneurinome breit machen. Er versorgt die Muskeln, die die Augenbewegung nach außen steuern daher Schielen nach innen, typisches Symptom sind Doppelbilder. Das Lähmunsschielen kann operiert werden, es ist aber möglich, dass die OP nach einigen Jahren wiederholt werden muss.
Augenzittern (med. Nystagmus) wird durch Meningeome verursacht. Es ist ein nervöses Leiden, d.h. je nach Wetter, physischem Befinden, Müdigkeit etc, verschieden.
Schädigungen der Nerven, die den gesamten Körper durchziehen (= "periphere" Nerven), entstehen durch Überlastung, Entzündungen oder wie bei der NF2 durch Tumore. Dabei können leichte und schwere, kurzzeitige und dauerhafte Störungen auftreten.
Selbst bei einer vollständigen Durchtrennung eines der größeren Nerven ist eine Regeneration möglich, wenn die Nervenenden frühzeitig wieder zusammengefügt werden. Je kürzer die Schädigung besteht, desto besser wird sich die Funktion erholen können. Wartet man mit einer operativen Behandlung zu lange, dann kann man z.B. bei Schädigungen des Armnervengeflechts nach einem Jahr keine guten Ergebnisse mehr erzielen.
Auch nach einer rechtzeitig durchgeführten Behandlung benötigt der Nerv etwa einen Tag, um einen Millimeter neu zu wachsen (Regeneration). Die Erholung von Lähmungen beginnt daher oft erst nach Monaten. Eine intensive Nachbehandlung mit Krankengymnastik, Ergotherapie und Elektrostimulation verbessert die Heilungsergebnisse deutlich.
Zeichen einer Schädigung peripherer Nerven sind
Weil die größeren Nerven sehr lang sind, treten die Beschwerden oft nicht nur am Ort der Schädigung, sondern auch ausstrahlend weit davon entfernt auf. Schwurhand", "Krallenhand" und "Fallhand" sind bekannte Fehlstellungen der Hand, die v.a. dann entstehen, wenn die betroffenen Armnerven durch Verletzungen geschädigt werden.
Immer besteht in diesen Fällen auch eine Störung des Berührungsempfindens (Sensibilität) im entsprechenden Versorgungsgebiet des betroffenen Nerven.
Neben Verletzungen und Tumoren sind so genannte "Engpässe" eine häufige Schädigungsursache. Diese Engpässe treten vorzugsweise an bestimmten Stellen auf:
Nächtliche Schmerzen und ein "Einschlafgefühl" in den ersten 3 Fingern einer Hand kommen beim "Karpaltunnelsyndrom" (Nervus medianus) vor.
Beim "Ulnarisinnensyndrom" (Nervus ulnaris) strahlt der Schmerz vom Ellenbogen in Ring- und Kleinfinger aus. Diese Finger fühlen sich oft pelzig an. Manchmal besteht eine Schwäche der kleinen Handmuskeln, die im Alltag als störend bemerkt wird.
Das Armnervengeflecht (Plexus brachialis) ist beim "Skalenussyndrom" betroffen. Neben Schmerzen im Schulter-Hals-Bereich, die in den Arm und die Finger ausstrahlen können, kommt es bei Arbeiten über Kopf und beim Tragen schwerer Taschen zu Kribbeln und Einschlafgefühl im betroffenen Arm.
Schmerzen in Höhe des Knies, Pelzigkeit am Fuß und manchmal eine Lähmung der Fußhebung sprechen für eine Engstelle im Bereich der Loge des Nervus peroneus.
Besonders nachts treten beim "Tarsaltunnelsyndrom" (Nervus tibialis) Schmerzen und Pelzigkeit im Fuß, besonders an der Fußsohle auf.
Auch die so genannte "Meralgia paraesthetica" mit brennenden Schmerzen und Taubheitsgefühl an der Oberschenkel-Außenseite, die oft zunächst ursächlich als Bandscheibenvorfall fehlgedeutet wird, entsteht aufgrund der Schädigung peripherer Nerven.
Die klinische Untersuchung durch einen geschulten Experten ist unersetzlich bei Verdacht auf eine Schädigung der peripheren Nerven. Manchmal lässt sich die Schädigung durch eine gezielte Blockade des Nerven mit Betäubungsmitteln näher eingrenzen. Darüber hinaus kommen aber auch apparative Methoden zum Einsatz.
Da die Nerventätigkeit und die Tätigkeit der von den Nerven versorgten Muskeln auf elektrischer Aktivität aufbaut, kann man Nervenschädigungen elektrophysiologisch untersuchen. Dazu sind das Elektromyogramm (EMG) und die Messung der Nervenleitgeschwindigkeit (NLG) sehr gut geeignet. Seltener kommen bildgebende Verfahren, wie z.B. Röntgen oder das MRT (Kernspintomogramm) für den Nachweis der Ursache einer Nervenschädigung zur Anwendung.
Periphere Nerven können sich von kurzzeitigen Schäden erholen. Die Behandlung richtet sich daher nach Ursache, Dauer und Schwere der Schädigung. Wenn durch die natürliche Selbstheilung (Regeneration) und durch unterstützende medikamentöse und physiotherapeutische Bemühungen keine Besserung eintritt oder auch, wenn eine Durchtrennung von Nerven nachgewiesen ist, dann kommen operative Verfahren zum Einsatz.
Meist sind aber bei NF2 nicht die mikroskopisch kleinen Nervenäste betroffen, die an fast jedem Punkt des Körpers zu finden sind, sondern die Nervenstämme:
Operationen werden entweder unter lokaler Betäubung oder in Narkose durchgeführt. In der Regel werden die Operationen unter dem Mikroskop, manche auch mit dem Endoskop durchgeführt. So werden Engpässe beseitigt, indem man das auf den Nerven drückende Gewebe durchtrennt und vom Nerven entfernt. Tumore (Nervenknoten) sollten immer operativ freigelegt und entfernt werden, weil sie durch längeres Wachstum den Nerven zerstören können und um eine sichere Diagnose zu stellen.
Auch bei Verletzungen mit Lähmungen oder Gefühlsstörungen empfiehlt sich die neurochirurgische Freilegung. Bei vollständiger Durchtrennung kann der Nerv manchmal direkt wieder zusammengefügt werden. Gelingt das bei einem teilweise zerstörten Nerven oder nach länger bestehender Schädigung nicht, dann kann eine mikrochirurgische Transplantation mit einem Hautnerven (z.B. aus dem Unterschenkel) als "Zwischenstück" durchgeführt werden. Der Nerv kann durch das Zwischenstück hindurch wachsen und seine Funktion wieder aufnehmen.
Bei der Mononeuropathie handelt es sich um die Erkrankung einzelner Nerven im Randgebiet des Körpers, wie beispielsweise im Bereich des Armes. Die Bezeichnung "monos" kommt aus dem griechischen und bedeutet "einzeln" (Ggs. Polyneuropathie). Es können bei der Mononeuropathie< motorische, sensible oder vegetative Nervenfasern betroffen sein. Jeder einzelne periphere Nerv ist für eine oder einige bestimmte Körperregion/en oder Körperfunktionen zuständig. Er überträgt Bewegungsbefehle vom Gehirn zu den Muskeln, leitet Empfindungen aus Haut und tiefer liegenden Geweben zum Gehirn und regelt Schwitzen und Durchblutung der Haut und Muskeln.
Daher stellt sich als erstes Symptom eine eine Schwäche ein. Empfindungs- , Durchblutungs- oder Schwitzstörungen können weitere Folgen sein, wobei Schwäche und Empfindungsstörungen stets im Vordergrund stehen. Schwäche betrifft immer nur diejenigen Muskelgruppen, die einem bestimmten Nerven zugehörig sind. Auch die Empfindungs- und Schwitzstörungen spielen sich immer nur in einem bestimmten Hautgebiet ab. Häufig kommt es auch zu Missempfindungen wie Brennen, Spannungs-, Kälte- oder Hitzegefühl. Diese beruhen auf einer fehlerhaften Informationsverarbeitung des Gehirns, da der geschädigte Nerv gewissermaßen Störsignale sendet.
Obwohl Schmerzen kein Hauptsymptom sind, können sie gelegentlich in den Bezirken entstehen, in denen auch die Empfindung herabgesetzt ist. Typisch sind ebenfalls abgeschwächte oder fehlende Reflexe auf.
Die Hauptursachen einer Mononeuropathie sind zunächst Zuckerkrankheit (Diabetes mellitus) oder zu starker Alkoholkonsum. Aber auch zahlreiche Medikamente können eine Mononeuropathie auslösen. Durch plötzlichen, starken Druck (z.B. Prellung) oder auch durch fortdauernden leichten Druck (z:B: häufiges Aufstützen) kann ein Nerv ebenfalls geschädigt werden.
Auch Krankheiten, die den ganzen Körper betreffen (systemische Erkrankungen), ziehen manchmal auch Nerven in Mitleidenschaft. Einige mit dem Rheuma verwandte Erkrankungen (sog. Kollagenosen) verursachen zum Beispiel häufig asymmetrische Lähmungen mehrerer Nerven, da sie über eine Entzündung der kleinen Blutgefässe zu Durchblutungsstörungen führen. Ein erhöhtes Risiko für Druckschäden peripherer Nerven besteht also bei Personen, die an Zuckerkrankheit leiden oder auch bei solchen, die kürzlich viel an Blut verloren haben.
Mononeuropathien beginnen meist akut und sind oft sehr schmerzhaft. Mit einer spontanen Besserung kann meist allerdings innerhalb von Wochen gerechnet werden. Ob und wie schnell sich ein geschädigter Nerv erholt, hängt von Stärke und Dauer des schädigenden Reizes ab. Wurden nur an einem kleinen Abschnitt die Hüllscheiden der Nervenfaser geschädigt, erholt sich der Nerv innerhalb weniger Tage vollständig.
Sind aber die Nervenfasern durchtrennt, muss der Nerv den ganzen Weg vom Rückenmark zurück wachsen. Bei einer Wachstumsgeschwindigkeit von etwa einem Millimeter am Tag kann dies sogar Monate dauern. Fraglicher sind die Heilungschancen, wenn eine Stoffwechselstörung oder eine Durchblutungsstörung den Nerv geschädigt hat. Im schlimmsten Fall ist die Lähmung dabei dauerhaft. Die Behandlung der Grundkrankheit soll vornehmlich einer weiteren Schädigung des betroffenen Nervs Einhalt gebieten und der Schädigung anderer Nerven vorbeugen.
An erster Stelle stehen bei der Diagnostik die ausführliche Erhebung der Krankengeschichte sowie eine körperliche Untersuchung. Die Krankengeschichte sollte mögliche Ursachen von Druckschäden wie Verletzungen erfassen. Außerdem müssen andere Erkrankungen erfragt werden, um Hinweise auf eine rheumatische Erkrankung oder eine Tumorerkrankung zu finden. Die körperliche Untersuchung forscht nach Narben, örtlicher Druckschmerzhaftigkeit im Verlauf des Nerven, Verschmächtigung von Muskeln und gestörter Durchblutung. Die Kraft der einzelnen Muskelgruppen und die Reflexe müssen geprüft und die Empfindungsfähigkeit der Haut getestet werden. Der Ausfall eines Reflexes kann einen Hinweis darauf liefern, welcher Nerv betroffen ist.
Kann mit all diesen Mitteln keine sichere Diagnose gestellt werden, wird eine elektrische Untersuchung der Muskelaktivität und eine Prüfung der Nervenleitgeschwindigkeit erfolgen müssen (Elektromyografie). Wird eine den ganzen Körper betreffende Ursache vermutet, sind weiterführende Untersuchungen erforderlich.
Als Neuropathie bezeichnet man grundsätzlich die Erkrankung des peripheren Nervensystems. Als peripheres Nervensystem wird der Teil des Gesamtnervensystems bezeichnet, der örtlich am weitesten vom Zentralnervensystem entfernt liegt, jedoch in seiner Funktion eng mit ihm verbunden ist.
Dabei gibt es verschiedene Krankheitsformen, die sich in zwei Hauptformen unterteilen: Eine Form, bei der die Hüllen der Nervenfasern abnorm dick werden und eine zweite, bei der die Nervenfasern selbst zugrunde gehen.
Unter einer Polyneuropathie versteht man nun eine Nervenerkrankung, bei der in der Regel viele Nerven gleichzeitig betroffen sind. (Ausnahmen bilden so genannte Mononeuropathien. Diese sind selten und geben immer besonderen Anlass eine andere Erkrankung auszuschließen). Bei den Nerven, die dabei gemeint sind, handelt es sich um Nervenstränge- und fasern, die für die Wahrnehmung und Leitung von Empfindungen (wie Berührungsreize, Wärme, Kälte, Schmerz) unserer Haut und unserer Organe zuständig sind. Gemeint sind außerdem die Nerven, über die unser Gehirn den Muskeln vermittelt, wie stark sie sich bei Bewegungen zusammenziehen müssen. Bei diesen Nerven handelt es sich um sichtbare und teilweise auch tastbare Leitungsbahnen, die mit Stromkabeln durchaus ergleichbar sind.
An manchen körpernahen Stellen sind diese "Kabel" fingerdick, in ihren Endaufzweigungen sind sie haardünn. Ähnlich wie Stromkabel bestehen sie aus Leitungsbahn und Isolierung. Bei den verschiedenen Formen der Polyneuropathie kann einerseits hauptsächlich die Isolierung (Myelin) Schaden nehmen, bei anderen Erkrankungen eher die eigentliche Leitungsbahn (Axon). Manchmal stehen Schmerzen und autonome Symptome und eine gleichzeitige Störung von Schmerz- und Temperaturempfinden im Vordergrund. Die Sensibilität ist hingegen weitgehend erhalten.
Meistens tritt zunächst an den Füßen, manchmal auch an den Händen ein Kribbeln auf, später stellt sich ein Ameisenlaufen und Brennen oder Schmerzen der Füße ein; Muskelkrämpfe können dazukommen. Leider hat dies oft zur Folge, dass man dadurch Verletzungen, Schwellungen, Hühneraugen und andere Fußleiden nicht mehr so spürt wie früher. Bis zu 90 Prozent der Fußgeschwüre gehen mit Komplikationen wie einer Infektion einher und/oder entwickeln sich zum chronischen Ulkus oder zur Gangrän.
Eine andere Folge sind zerstörte Grundgelenke der Zehen oder Fußheberschwächen. Wenn die Erkrankung weiter fortschreitet, in seltenen Fällen von Anfang an, kann ein Unsicherheitsgefühl beim Gehen auftreten. Es kann eine Schwäche einzelner Muskeln und ein langsamer Muskelschwund dazukommen. Selten treten Sehstörungen, Schluckbeschwerden, Durchfall, Verstopfung, Herzrhythmusstörungen, Schweißausbrüche beim Essen, Potenzstörungen, Doppeltsehen oder andere Sehstörungen auf. Die Beschwerden durch eine Polyneuropathie sind häufig in Ruhe stärker als während körperlicher Belastung. Dies gilt besonders für die Beschwerden an den Beinen.
In etwas mehr als der Hälfte aller Fälle lässt sich eine Ursache für diese Nervenschädigungen ermitteln. Die häufigsten Ursachen bei uns in Deutschland sind die Zuckerkrankheit und Alkoholmissbrauch. Daneben gibt es eine große Zahl seltener Ursachen für Polyneuropathien. Es handelt sich dabei um Vitaminmangel, bestimmte Infektionskrankheiten, bestimmte entzündliche - manchmal auch bösartige - Erkrankungen.
Hauptsymptome einer Polyneuropathie sind
Als Hyper-, Hyp- und Analgesie werden Steigerung, Abschwächung und Aufhebung des Schmerzempfindens bezeichnet. Die Schmerzempfindung wird vielfach mit einer Nadelspitze geprüft. Dies ist nicht immer zuverlässig, da die Nadelspitze in gewissen, wenig empfindlichen Körperregionen sehr wohl zwischen zwei Schmerzpunkten an die Haut angesetzt werden kann, wodurch dann eine Verminderung des Schmerzsinnes vorgetäuscht wird.
Im Wesentlichen ist immer eine Spitz-Stumpf-Unterscheidung möglich, wie spitz ein Gegenstand empfunden wird, ist allerdings auch generell bei Gesunden immer an verschiedenen Körperregionen und zu verschiedenen Zeitpunkten unterschiedlich.
Eine andere Möglichkeit ist, eine Hautfalte zwischen zwei Fingern mit den Nägeln zu klemmen, wobei man auch die Intensität des Reizes beim Vergleich mit einer gesunden Region annähernd dosieren kann.
Die Prüfung der Analgesie kann meist das von einer Sensibilitätsstörung betroffene Hautgebiet besser abgrenzen als die Prüfung der taktilen Ästhesie. Besondere Bedeutung hat die Prüfung der Analgesie auch, wenn der Verdacht auf eine Rückenmarksschädigung besteht und das sensible Niveau gesucht wird. Nadeln haben bei der Prüfung den Nachteil, dass es möglich ist, den Patienten zu verletzen.
Als Thermhyp- und Thermanästhesie werden Abschwächung und Aufhebung des Temperaturempfindens bezeichnet. Am einfachsten ist die Prüfung mit dem kalten Metallteil des Reflexhammers, auch im Gegensatz z. B. zum Holzgriff. Sinnvoll ist, dass der Reflexhammer kälter ist als die Haut des Patienten. Gegenstände die Temperatur leiten, wie Metall, werden immer als kühler empfunden als Gegenstände die Temperatur schlecht leiten, wie Holz oder Kunststoff.
Die Temperaturempfindlichkeit kann man auch mit Hilfe zweier Reagenzgläser oder besser zweier Metallgefäße prüfen, die man mit kaltem bzw. warmem Wasser füllt. Die Temperaturunterschiede sollten nicht zu groß sein, nur so , dass sie der Untersucher in seiner Hand deutlich empfindet (warm bis °C, kalt bis 10°C).
Bei Störungen des Vibrationsempfindens: Man setzt eine angeschlagene Stimmgabel (128 Schwingungen /s) mit ihrem Fuße zunächst auf die Finger oder Zehenballen auf.
Falls hier keine Vibration gefühlt werden kann, wird sie erst auf tastbare Skelettvorsprünge (Sprunggelenk, Schienbein, Kniegelenk, Darmbeinstachel) aufgesetzt. Nachteil beim Aufsetzen der Stimmgabel auf Skelettvorsprünge ist, dass Knochen die Vibration über weite Strecken leiten und damit die Wahrnehmungsfähigkeit des Patienten überschätzt wird. Man überprüft mit der nicht schwingenden Gabel immer noch einmal, ob der Patient wirklich das Schwingen spürt und korrekt angibt.
Die Beteiligung des autonomen Nervensystems kann mit einer erhöhten Mortalität einhergehen und hat häufig erektile Impotenz (vor allem bei jüngeren Männern) sowie schwerwiegende körperliche Beeinträchtigungen (Bluthochdruck, Stuhlinkontinenz oder Blasenlähmung, nächtlicher Durchfall, Hauterkrankungen usw.) und zum Teil lebensbedrohliche Komplikationen wie den stummen Herzinfarkt oder plötzlichen Tod zur Folge.
Bewertung der Sensibilitätsstörungen: Nicht jedes Kribbeln ist ein Hinweis auf einen Schlaganfall. Fast nie ist es ein Hinweis auf Durchblutungsstörungen an Armen und Beinen. Für die Beurteilung der hier erhobenen Befunde ist eine exakte Kenntnis der Hautinnervationsverhältnisse Voraussetzung. Nicht bei jedem Patienten wird jedes Detail untersucht, der Untersucher muss allerdings einschätzen können, wo ein ganz genaues Nachschauen erforderlich ist.
Wie bei Lähmungen können auch Sensibilitätsstörungen ihre Ursache nicht nur in Schäden des Gehirns durch einen Schlaganfall haben, sondern auch in Schäden der peripheren Nerven. Wichtig ist hier für die Unterscheidung zunächst die genaue Feststellung, in welchem Hautbezirk sich der Schaden feststellen lässt.
Die Untersuchung der Schmerzwahrnehmung oder Spitz-Stumpf-Unterscheidung mit einer Nadel kann diese Hautbezirke oft besser abgrenzen als die Prüfung des Berührungsempfindens. Manchmal ist es bei Sensibilitätsstörungen erforderlich, das betroffene Gebiet am Patienten beispielsweise mit einem Kugelschreiber zu markieren um die Ausdehnung genauer abschätzen zu können, oder auch um zu überprüfen ob diese reproduzierbar ist.
Die Verteilung von peripher (also außerhalb des zentralen Nervensystems von Hirn und Rückenmark) bedingten Sensibilitätsstörungen wird durch zwei voneinander unabhängige Ordnungsprinzipien bestimmt: von der segmentalen, Nervenwurzel Gliederung (Dermatome) einerseits und von dem Verteilungsmuster der peripheren Nervenverästelungen andererseits.
Bewegungsempfinden Propriozeption) wird geprüft an Gelenken der Hände und Füße, wobei vom Untersucher die Endglieder seitlich gefasst und dann passive Beuge- und Streckbewegungen durchgeführt werden. Der Patient hat dabei die Augen geschlossen. An den Fingern muss dabei das Grundglied ebenfall seitlich festgehalten werden, damit sich nur das distale Glied bewegt. Finger oder Zeh werden jeweils nach oben oder unten bewegt. Die Richtung der jeweils vollzogenen Bewegung hat der Patient dann anzugeben.
Die meisten Patienten können mit geschlossenen Augen auch feinste Bewegungen in den Finger- oder Zehengelenken unterscheiden und erkennen. Wenn der Patient am Finger oder Zeh ein normales Bewegungsempfinden hat kann auf die Prüfung des Bewegungsempfindens an den proximalen Extremitäten verzichtet werden. Bei massiver Störung an Fingern und Zehen wird aber auch im Hand-, Ellbogen- und Schultergelenk bzw. entsprechend an den Beinen geprüft. Lageempfinden wird geprüft dadurch, dass der Kranke mit geschlossenen Augen eine vom Untersucher an der Gegenseite vorgegebene Extremitätenhaltung nachzuvollziehen hat.
Stereognosie (Tasterkennen) wird geprüft durch verschiedene Münzen oder Schlüssel, Sicherheitsnadel usw., die dem Kranken in die Hohlhand gegeben werden und die er erkennen soll. Das Unvermögen hierzu wird als Astereognosie (besser: Stereoagnosie) bezeichnet. Bei der dissoziierten Empfindungsstörung ist nicht die gesamte Oberflächensensibilität gestört, sondern nur die Schmerz- und Temperaturempfindung bei erhaltenem Berührungsempfinden,. (besonders bei Rückenmarksläsionen).
Die spinale Muskelatrophie ist eine genetische Erkrankung mit fortschreitender Muskelschwäche und -schwund durch Schädigung bestimmter Zellen im Rückenmark (Vorderhornzellen). Auch hierbei können Klumpfüße auftreten, die ebenso wie bei der Muskeldystrofie therapiert werden. Bei Muskeldystrophien verändern sich die Muskeln, d. h. es entstehen eine Muskelschwäche, bzw. ein Muskelschwund und eine Verkürzung der Muskeln. Muskeldystrophien sind genetisch bedingt und es gibt verschiedene Verlaufsformen.
Die häufigste Form ist die Duchenne Muskeldystrophie, die unheilbar ist. In den ersten Lebensjahren sind die Kinder meist noch recht unauffällig. Erst im Laufe der Zeit treten Anzeichen wie schwerfälliges Gehen auf. Die Muskeln werden immer schwächer und zunehmend treten Verkürzungen der Muskeln auf, bis die Kinder im Alter von ungefähr 10 Jahren nicht mehr Stehen und Gehen können. Die meisten Erkrankten sterben im Jugendlichen oder frühen Erwachsenenalter, da dann auch Lunge und Herz von der Muskelschwäche betroffen sind. Andere Formen der Muskeldystrophie verlaufen langsamer und treten erst zu einem späteren Zeitpunkt auf.
Die Behandlung eines Klumpfußes bei Muskeldystrofie ist äußerst schwierig, da durch die bereits gegebene Muskelschwäche z. B. redressierende Gipse in kürzester Zeit zum Gehverlust führen können. Bei noch gehfähigen Patienten wird deshalb meist direkt operiert und nach der OP auch möglichst bald (nach wenigen Tagen) mobilisiert. Ähnliches gilt für orthopädische Hilfsmittel, die den Gesamtorganismus nicht belasten oder einschränken dürfen. Sie sollten weiteren Fehlstellungen vorbeugen und den aktuellen Zustand stabilisieren.
Grundsätzlich können diese Schäden spastische Störungen hervorrufen, wodurch sich wiederum durch das Verkürzen der Muskeln - u. a. Klumpfüße bilden können. Auch bei diesem Typ der Dystrophie leiden die Erkrankten unter Muskelschwäche. Hinzu kommen aber noch Atem- und Schluckstörungen. Unterteilt wird die myotone Dystrophie in drei Typen: In eine angeborene, eine frühkindliche und eine im Erwachsenenalter auftretende Form.
Der Charcot-Marie-Tooth gehört zur Gruppe der hereditär (erblich) motorisch-sensiblen Neuropathien. Im Verlauf dieser Erkrankung kommt es zu Lähmungen der Extremitäten mit Muskelschwund. Frühsymptome sind Deformierungen der Füße (Hohlfuß, Krallenzehen) durch Muskelungleichgewicht und im Laufe der Jahrzehnte kommt es zu ständiger Verschlechterung bis hin zur starken Gehbehinderung. Die Nervenleitungsgeschwindigkeit ist deutlich verlangsamt.
Zur Diagnosestellung werden diese Nervenleitungsgeschwindigkeiten auch bei den Familienangehörigen gemessen. Eine Heilung der degenerierten Nerven ist nicht möglich. Krankengymnastik, Bewegungstherapie und orthopädische Schuhe können aber die Beschwerden lindern und trainieren die noch arbeitenden Muskeln, die dadurch Fehlstellungen vorbeugen können.
Als Schädelhirntrauma wird eine Verletzung des Kopfes bezeichnet, bei der das Gehirn geschädigt wird. Diese Schädigung kann entweder direkt oder aber auch zu einem späteren Zeitpunkt in Folge von Hirnblutungen, bzw. Schwellungen entstehen. Eine Gehirnerschütterung ist die leichteste Form eines Schädelhirntraumas. Bei stärkeren Schädigungen des Gehirns ist die Länge und Tiefe der anschließenden Bewusstlosigkeit maßgebend für die Schwere der Verletzung und ihre Auswirkung. Lähmungen können z. B. die Folge sein.
Es gibt zwei Arten von Schlaganfällen. Beim so genannten unblutigen Schlaganfall ist ein Blutgefäß im Gehirn durch einen Blutpfropfen verstopft. Beim blutigen Schlaganfall zerreißt ein Blutgefäß im Gehirn. In beiden Fällen ist die Durchblutung des Gehirns nicht mehr gewährleistet und es kommt zu Sauerstoffmangel in der betroffenen Hirnregion. Die Gehirnzellen beginnen abzusterben. In den ersten Stunden nach Erkrankung besteht die größte Chance Folgen und Komplikationen zu verringern. Die Schädigungen können sich auf die Sinne, die Sprache usw. auswirken. Außerdem ist die Lähmung meist einer Körperseite eine häufige Folge. Verschiedene therapeutische Maßnahmen dienen zur Wiederherstellung motorischer Fähigkeiten. Eine vollständige Heilung ist jedoch nicht möglich.
Die Behandlung der aufgezählten Funktionsstörungen ist schwierig und leider oft nur von begrenztem Erfolg. Behandlungsmethoden sind zum Beispiel Hilfsmittel wie maßgeschneiderte Stützstrümpfe oder Strumpfhosen, oder medikamentös Fludrocortison (Nebenwirkungen davon sind aber Ödeme = Wassereinlagerungen).
Bei Blasenentleerungsstörungen wird versucht, zunächst durch Druck mit der Hand oberhalb des Schambeins die Blasenentleerung in Gang zu bringen. Manchmal muss auch eine Selbst-Katheterisierung durchgeführt werden. Langfristige Antibiotika-Therapie kann wegen der oft bestehenden Neigung zu Harnwegsinfektionen notwendig sein. >Gegen exzessives Schwitzen meist im Brust- und oberen Rückenbereich und speziell beim Essen (gustatorisches Schwitzen = Schweißausbrüche bei Geschmackswahrnehmungen) gibt es bisher keine effektive Behandlungsmöglichkeit.
Die Behandlung der Verstopfung sollte mit Ballaststoffen erfolgen (Agar-Agar, Leinsamen, Methylzellulose) die mit viel Flüssigkeit eingenommen werden, sofern die reflektorische Kontraktionsfähigkeit des Dickdarms intakt ist. Lactulose (Lactose funktioniert schlechter) verursacht aber oft Blähungen und Bauchkrämpfe. Probiotika bei gestörter Darmflora wirken nur kurz.
Zum Teil lassen sich die Missempfindungen bei Neuropathien durch nicht-medikamentöse Maßnahmen wie das Tragen orthopädischer Schuhe, Krankengymnastik, Kälte- oder Wärmeanwendungen, Zweizellenbäder oder TENS lindern. Die nächste Behandlungsstufe besteht in lokalen Maßnahmen, die vor allem bei lokal umschriebenen Schmerzen sinnvoll sind. Selbstverständlich dürfen Salben nur auf intakter Haut angewendet werden.
Einige NF2-Patienten weisen nun zusätzlich zu den für die Neurofibromatose beschriebenen Symptomen eine Polyneuropathie auf. Es gibt allerdings bisher wenig klinische Studien über die Häufigkeit bzw. über den Zusammenhang von NF2 und Polyneuropathie. Evans et al. konnten 1992 nur bei etwa 6 % der NF2 Patienten eine Polyneuropathie feststellen. In neuere Studien (Sperfeld et al.) wurde bei 46,7 % (bzw. bei 66,7 % nach elektrophysiologischen Untersuchungen) eine Polyneuropathie (PNP)diagnostiziert.
Histologisch findet man in peripheren Nervenbiopsien Schwannzell-Anomalien, so dass vermutet wird, dass diese Schwannzell-Anomalien eine Art Vorstufe für Schwannome darstellen. Auf dieser Grundlage sollen krankhaft auffällige Schwannzellen aus peripheren Nerven von NF2-Patienten mit Polyneuropathie genotypisiert werden. Die Fragestellung lautet hierbei: Hat hier bereits der "Second Hit" im Wildtypallel stattgefunden? Auch hier gibt es ein Muskelungleichgewicht, das z. B. zu Klumpfüßen führen kann.
Die neurale Muskelatrophie gehört zu dem Kreis der so genannten neuromuskulären Erkrankungen. Die Erkrankung betrifft die Nervenfasern der motorischen Nervenzellen im Rückenmark oder geringer ausgeprägt die für die Sensibilität (Gefühlsempfinden) von der Haut bis zum Rückenmark bzw. zum Hirnstamm verantwortlichen Neurone. Die Bezeichnung "Neurale Muskelatrophie" wird auf Johann Hoffmann zurückgeführt, der in einem Beitrag aus dem Jahre 1889 auch von der "progressiven neurotischen Muskelatrophie" sprach.
Bei der inaktivitätsbedingten Muskelatrophie kommt es zu einer rasch fortschreitenden Reduktion des Muskelquerschnittes. Das Muskeldefizit wird klinisch vor allem durch die Verringerung der Extremitätenumfänge. Der Verlust an Muskelmasse ist hierbei Folge einer Muskelfaseratrophie bei erhaltener Zellzahl.Für die klinische Praxis ist es bedeutsam, dass Spannungs- und Dehnungszustand eines Muskels das Ausmaß der Atrophie beeinflussen.
Dystrophie bedeutet wörtlich übersetzt "Fehlwuchs". Unter einer Dystrophie werden degenerative Besonderheiten verstanden, bei denen es durch Entwicklungsstörungen einzelner Gewebe oder auch des gesamten Organismus zu Fehlwüchsen kommt. Eine Dystrophie ist in der Regel mit einer eingeschränkten Funktion, einer erhöhten Anfälligkeit und einem vorzeitigen Verschleiß der betroffenen Körperareale verbunden. Eine Dystrophie geht meist mit Funktionseinschränkungen bzw. Funktionsstörungen der Körperregionen einher.
Kennzeichen einer Muskeldystrophie ist eine fortschreitende, meist symmetrisch ausgebildete Muskelschwäche. Diese Muskelschwäche ist das Hauptproblem bei Muskeldystrophie. Infolge des Muskelschwundes kommt es zu schmerzhaften Fehlstellungen von Gelenken und Knochenverformungen.
Der Verdacht auf Muskeldystrophie ergibt sich, wenn im Kindesalter eine ungewöhnliche, symmetrisch ausgebildete Schwäche der Muskulatur beobachtet wird. Bei der körperlichen Untersuchung wird nach allgemeinen Auffälligkeiten wie Haltung, Beweglichkeit und Atmung geschaut. Bei der neurologischen Untersuchung wird die Funktion der Nerven und Muskeln überprüft.
Muskelschwäche kann neurogene oder myogene Ursachen haben. Die Differenzierung erfolgt durch Elektroneurografie und Elektromyografie. Bei der Elektroneurografie werden die Nervenleitgeschwindigkeit und die Funktionstüchtigkeit der Nervenfasern ermittelt. Dabei werden Nerven elektrisch gereizt. Bei der Elektromyografie werden Muskelströme gemessen. Dabei kann ermittelt werden, ob die Nervenfasern geschädigt oder ob die Muskeln selbst erkrankt sind.
Laborwerte geben ebenfalls wichtige Hinweise: Die Menge an Creatin-Kinase, einem Muskelenzym, ist oft erhöht. Andere Enzyme und Stoffwechselprodukte der Muskeln, bestimmte Antikörper, sowie andere Blut- und Urinwerte ergänzen die Diagnose. Als bildgebende Verfahren werden MRT und Ultraschall eingesetzt. Hier können ohne Belastung des Patienten strukturelle Veränderungen der Muskeln beurteilt werden. Die Muskelbiopsie erlaubt die Untersuchung des Muskels unter dem Mikroskop. Die Stoffwechselvorgänge im Muskel können damit genau untersucht werden.
Eine effektive Behandlung besteht in einer Kombination aus Physiotherapie, Ergotherapie, Logopädie und psychologischer Betreuung. Kortisongaben und operative Lösung von Kontrakturen verlängern die Gehfähigkeit. Kreatingaben verbessern den Muskelstoffwechsel (regelmäßige Therapiepausen nötig!). Die Ausbildung von Skoliosen (Verkrümmung der äule) kann durch einen so genannten Wirbelsäulenstab verhindert werden; hierdurch wird vor allem die Atmungsfähigkeit
Ziel aller physiotherapeutischen Maßnahmen ist es, die Folgen der Muskelschwäche so gering wie möglich zu halten bzw. in einem bestimmten Ausmaß zu korrigieren. Die Behandlung orientiert sich an Typ, Stadium und Prognose der Erkrankung, sowie an der Lebenssituation des Betroffenen und seiner Familie.
Es sollte grundsätzlich mehr mit dem Ziel der Funktionsbesserung als mit dem Ziel der Kräftigung trainiert werden. Darum müssen Patienten über die Warnzeichen einer Überbelastung informiert sein. Hierzu gehören ein Schwächegefühl innerhalb von 30 Minuten nach der Übung oder nach dem Training. Andere Warnsignale beinhalten ausgeprägte Muskelkrämpfe, Schweregefühl von Armen und Beinen oder anhaltende Kurzatmigkeit.
Die Behandlung bei Muskeldystrophie ist allerdings äußerst schwierig, da durch die bereits gegebene Muskelschwäche orthopädische Hilfsmittel in kürzester Zeit zum Gehverlust führen können. Alle Hilfsmittel sollen nur weiteren Fehlstellungen vorbeugen und den aktuellen Zustand stabilisieren. Bei noch gehfähigen Patienten wird meist direkt operiert und nach der OP auch möglichst bald (nach wenigen Tagen) mobilisiert.
Bei den Dystrophinopathien wird ein für die Stabilität der Muskelmembran wichtiges Protein gar nicht oder in funktionsgestörter Form gebildet, was früher oder später zum Untergang von Muskelfasern und Ersatz durch Fett- oder Bindegewebe führt.
Die Dystrophinopathien beruhen also auf einer geminderten Stabilität der Muskelmembran gegen mechanische Kräfte. Jede zusätzliche Bewegung führt daher vermutlich zu einer weiteren Schädigung des Muskels, in der Summe und nach Jahren dann zur Schwäche. Die Versuchung ist groß, durch "Muskelaufbau" die Schwäche zu kompensieren ("Nach der Reha ging alles besser"), dafür aber langfristig den Verlauf zu beschleunigen.
Die spinale Muskelatrophie ist eine Erkrankung der Nervenzellen, die für die willkürlichen Bewegungen der Muskulatur, wie Krabbeln, Laufen, Kopf- und Halskontrolle und Schlucken, zuständig sind. Die spinale Muskelatrophie beeinträchtigt alle Muskeln des Körpers, obwohl die Muskeln, die dem Rumpf am nächsten sind (z.B. Schulter- Hüft- und Rückenmuskulatur) am schwersten betroffen sind. Die Schwäche in den Beinen ist im allgemeinen größer als in den Armen. Es kann auch die Kau- und Schluckmuskulatur betroffen sein. Die Beteiligung der Atemmuskulatur (die für die Atmung und das Abhusten zuständig ist) kann zu einer erhöhten Anfälligkeit für Lungenentzündungen und anderen Problemen mit der Lunge führen. Sinneswahrnehmungen und die Hautsensibilität sind nicht betroffen. Die Fähigkeiten sind ebenfalls nicht betroffen.
Schwindel
Im Allgemeinen versteht man unter Schwindel eine Störung des Orientierungs- und Gleichgewichtssystems.
Gleichgewichtsstörungen und Schwindelgefühle haben sehr unterschiedliche Ursachen. Es kann ein harmloser Reizschwindel vorliegen, hervorgerufen durch ungewohnte Sinnesreize wie Reisekrankheit oder Höhenschwindel.
Es können aber auch eine Entzündung oder Mangeldurchblutung der Gleichgewichtsorgane oder Schädigungen bestimmter Strukturen des Hirns vorliegen. Nicht zuletzt die am Schwindelerlebnis beteiligten vegetativen Begleiterscheinungen führen zu einer Beeinträchtigung des Patienten. Neben den Schwindelgefühlen können auch Schweißausbrüche, Herzklopfen, Übelkeit und Ohnmacht auftreten.
Schwindel tritt entweder als Erstsymptom einer NF2 wie auch als OP Folge bei Neurofibromatose Typ 2 auf.
Der Ursprung der so genannten Vestibularisschwannome liegt im vestibulären Anteil des Nervus vestibulocochlearis. Dieser vermittelt Informationen vom Gleichgewichtsorgan an das Gehirn, während der cochleäre Anteil die Hörimpulse leitet. Der 8. Hirnnerv verläuft zusammen mit dem Nerv für Gesichtsbewegungen (7. Hirnnerv, nervus facialis) vom Hirnstamm in den inneren Gehörgang (ein kleiner knöcherner Kanal im Felsenbein) bis zum Hör- und Gleichgewichtsorgan. Schwindel und Gleichgewichtsbeschwerden sind daher die am zweithäufigsten beklagten Beschwerden im Zusammenhang mit einem Vestibularisschwannom. Fraglich ist, inwiefern auch eine verminderte Durchblutung durch den erhöhten Druck auf das Gefäß im Inneren des Gehörganges dafür verantwortlich gemacht werden kann.
Bei der Ursachenfindung von Schwindel helfen eine Reihe von Untersuchungen: eine ausführliche Patientenbefragung zur genauen Definition der Schwindelzustände, die Überprüfung der vestibulospinalen Reflexe, eine Lage- und Lagerungsprüfung sowie eine thermische Labyrinthprüfung.
Die einfachsten Methoden der Untersuchung sind der Romberg-Stehversuch und Unterberger-Tretversuch. Bei der Elektronystagmografie (ENG) überprüft man in einem speziellen Labor die Reizbarkeit der beiden Gleichgewichtsorgane im Ohr. Nach einem bestimmten Zeitrhythmus werden beide Ohren getrennt mit warmem und kaltem Wasser gereizt. Hierdurch provozieren wir Bewegungen der Augen, die elektronisch aufgezeichnet werden. Diese Untersuchung ist völlig schmerzfrei, sie dauert etwa 45 Minuten.
Aufschluss über Durchblutungsstörungen geben gezielte Blutuntersuchungen und ein spezielles Ultraschallverfahren, die Dopplersonografie. Sind Durchblutungsstörungen die Ursache für Schwindel, werden zunächst durchblutungsfördernde Medikamente verabreicht, die gleichzeitig auch die häufig auftretenden Begleitsymptome wie Übelkeit und Brechreiz lindern.
Bei der Neurofibromatose Typ 2 und den damit verbundenen, in den meisten Fällen auftretenden Vestibularisschwannomen kommt es meist zu einer irreversiblen Schädigung des Gleichgewichtsapparates/Gleichgewichtsnerven. Daher sind die herkömmlichen klinischen Untersuchungen zur Feststellung einer Schädigung des Gleichgewichtsorganes nicht mehr geeignet. Blindgang oder Seiltänzergang sind außerdem meist gar nicht mehr durchführbar.
Diagnostik
Die Posturographie (Equitest®) ist eine auch bei Neurofibromatose geeignete Ergänzung in der Vestibularisdiagnostik und wird heute in jedem gut ausgestattetem Labor durchgeführt. Der Equitest® besteht aus einer computergesteuerten Plattform und einem dreiteiligen Wandschirm. Sowohl der Wandschirm als auch die Plattform sind beweglich und werden in ihren Bewegungen vom Computer gesteuert. Die Bewegungen finden immer in der Vorwärts-Rückwärts-Schwankrichtung des Patienten statt. In den einzelnen Versuchen werden die Körperschwankungen des Patienten durch Druckfühler, die in jedem Quadranten der Plattform untergebracht sind, registriert und durch das Computerprogramm analysiert.
Der Test besteht aus sechs Testbedingungen, bei denen jeweils die Körperschwankungen registriert werden. Ein einzelner Test dauert 20 Sekunden, jede Testbedingung wird dreimal durchgeführt.
Der Patient steht in der Ausgangsposition.
Der Patient steht in der Ausgangsposition mit geschlossenen Augen
Der Patient steht in der Ausgangsposition, wobei sich der Wandschirm bewegt
Der Patient steht in der Ausgangsposition und die Plattform bewegt sich
Der Pat. steht in der Ausgangsposition mit geschlossenen Augen, Plattform bewegt sich
Der Pat. steht in der Ausgangsposition, sowohl Plattform als auch Wandschirm bewegen sich
Einen Untertest stellt der so genannte Motor Control Test dar. In diesem Untertest bewegt sich die Plattform in horizontaler Richtung ruckartig nach vorn bzw. nach hinten. Die Bewegung findet in jede Richtung jeweils dreimal statt. Im Rahmen dieses Untertests werden die Zeitabstände gemessen zwischen Reiz und Reaktion der Ausgleichbewegung. Diese werden für jedes Bein getrennt registriert, sodass in diesem Test insgesamt 12 Werte erfasst werden.
Als Zweites wird die Reaktion des Patienten auf eine kreisförmige Bewegung der Plattform hin beobachtet. Zuerst kippt die Plattform insgesamt fünfmal hintereinander nach hinten, sodass die Fußzehen des Patienten sich nach oben bewegen. Anschließend erfolgt fünfmal eine Kippung nach vorn (Fußzehen bewegen sich nach unten). Ebenso wie im ersten Teil werden hier die Zeiten zwischen Reiz und Reaktion ermittelt. Besondere Hilfestellung bieten die Resultate der Posturographie für die Planung einer Therapie von vestibulären und neurologischen Erkrankungen sowie deren Verlaufs- und Erfolgskontrolle. Der Equitest® alleine scheint aber kein nützliches Instrument zur Einschätzung der Veränderungen des Gleichgewichtsverhaltens zu sein. Erst in Kombination mit den Ergebnissen der Nystagmusanalyse bietet sich ein umfassender Blick auf das Gleichgewichtssystem und seinen funktionellen Status.
Ein weiteres Problem ist die häufig vorhandene HWS-Symptomatik der Patienten. Schmerzbedingt tolerieren diese Patienten nicht alle Provokations- und Lagerungsprüfungen, sodass häufig Untersuchungen nicht bis zum Ende durchgeführt werden können. Nach einer gründlichen Untersuchung können allerdings oft durch eine chirotherapeutische Behandlung, bei der spezielle Grifftechniken (Manipulation) angewendet werden, die Muskelverspannungen gelockert, der Bewegungsspielraum der Gelenke wieder hergestellt und damit die Durchblutungsblockade gelöst werden.
Die Chirotherapie umfasst diagnostische und therapeutische Methoden, durch die Funktionsstörungen am Haltungs- und Bewegungsapparat erkannt und behandelt werden können.
Koordinationsstörung / Ataxie
Die Ataxie (Ataxis = Unordnung im Bewegungsablauf) ist eine Störung von Gleichgewichtsregulation und Bewegungskoordination, bzw. des geordneten Zusammenwirkens der Muskeln. Dadurch ist das Zustandekommen einer zielgerichteten Bewegung gestört oder sogar aufgehoben. Der Betroffene schwankt oder er geht wie ein Betrunkener. Manche Patienten schleifen mit den Füßen über den Boden, bleiben an kleinsten Unebenheiten oder Teppichkanten hängen und haben das Gefühl wie Blei oder Beton in den Gliedern. Eine Ataxie kann auch auftreten, wenn keine Lähmung vorliegt, also bei vollkommen normaler Muskelkraft. Patienten mit einer Gangataxie haben ein breitbeinig-unsicheres Gangbild. Die Standataxie ist die Unfähigkeit, ohne Hilfe sicher zu stehen. Die Folgen sind Schwanken, Fallneigung nach einer oder mehreren Richtungen oder Umfallen. Eine Ataxie bei Zielbewegungen führt zu Bewegungen falschen Ausmaßes (Daneben zeigen, überschießend-ausfahrenden Bewegungen, oder unflüssig-verwackelten Bewegungen) und damit zur Unfähigkeit einer raschen Folge antagonistischer Bewegungen.
Häufigste Ursache von Ataxien sind Erkrankungen des Kleinhirns. Dieses ist für die Verschaltung der sensiblen Informationen aus dem Rückenmark, der Informationen des Gleichgewichtsorgans, der übrigen Sinneseindrücke und deren Umsetzung in motorische Bewegungsabläufe zuständig, also Planung, Koordination und Feinabstimmung von Bewegungen. Ataxien treten auf, wenn die über das Rückenmark ankommenden sensiblen Informationen aus den peripheren sensiblen Nerven, Gelenken und Muskeln fehlen. Dadurch fehlt die für gezielte motorische Bewegungen erforderliche Feinsteuerung, es kommt zur so genannten sensiblen Ataxie.
Ähnlich wie das Kleinhirn kann auch das Rückenmark Ursache einer sensiblen Ataxie sein. Eine sensible Ataxie wird z.B. durch einen in den Rückenmarksraum eingebrochenen Wirbelkörper-Tumor hervorgerufen. Kleinhirn-Durchblutungsstörungen oder Kleinhirn-Blutungen, also Schlaganfälle des Kleinhirns, lösen eine cerebelläre Ataxie aus. Ataxien treten oft im Verlauf entzündlicher Erkrankungen des Nervensystems mit Schädigung des Kleinhirns und/oder des Rückenmarks auf. Hirntumoren im oder Verletzungen des Kleinhirns oder eine Einklemmung des Kleinhirns im Rahmen eines diffus erhöhten Hirndrucks führen zu einer Ataxie, sofern nicht zuvor eine Bewusstseinstrübung eintritt. Als Symptom einer Überdosierung von Medikamenten kann es zu in der Regel schnell reversiblen Ataxien kommen, vor allem bei Überdosierung oder zu schneller Aufdosierung von Antiepileptika.
Grundsätzlich kann jede Erkrankung, die die an der Bewegungssteuerung beteiligten Organsysteme des Nervensystems schädigt, eine Ataxie hervorrufen. So führen bestimmte Krankheiten zu einem Untergang von Teilen des Kleinhirns und Rückenmarks. Symptomatik ist dann eine Bewegungsstörung von Armen und Beinen.
Das im Wirbelkanal liegende Rückenmark sowie das Gehirn werden von zwei zarten („weichen“) sowie einer derberen („harten“) Rückenmarks- bzw. Hirnhaut umgeben.
Zwischen den beiden weichen Hirnhäuten gibt es einen Spalt, durch den die Hirnflüssigkeit - der Liquor cerebrospinalis - zirkuliert. Damit ist das Gehirn sozusagen "flüssigkeitsgelagert", woraus ein mechanischer Schutz, ein gleichverteilter Druck und ein für das Nervensystem gesundes Milieu resultiert. In seinem Inneren beherbergt das Gehirn Kammern, das Rückenmark einen Zentralkanal, so dass man den äußeren von einem inneren Liquorraum abgrenzen kann.
In den Kammern (=„Ventrikel“) bildet ein mit Blutgefäßen besonders intensiv versorgtes Gewebe den Liquor. Beim Erwachsenen beträgt die Liquormenge etwa 120 bis 200 ml; dies entspricht der eines kleinen Glas Trinkwasser. Täglich bildet sich die drei- bis fünffache Menge neu. Somit ist eine rege Zirkulation des Gehirnkammerwassers notwendig, um den ständigen Abfluss zu gewährleisten.

Es gibt insgesamt 4 Ventrikel, die untereinander mittels enger Kanäle und Öffnungen verbunden sind. Normalerweise gelangt der Liquor von den Seiten- in den 3. Ventrikel, dann über den Aquädukt in den 4. Ventrikel und von dort einerseits in den Zentralkanal des Rückenmarks und andererseits über die seitlichen und die untere Öffnung in den äußeren Liquorraum. Für den Abfluß sind Ausstülpungen der weichen Hirnhaut verantwortlich, über die der Liquor in die Venen filtriert wird.
Wenn die Öffnungen oder Kanäle verstopft oder zu eng sind, kann der frisch gebildete Liquor nicht abfließen. Er staut sich und treibt die inneren Kammern auseinander.
Das Problem sind dabei nicht so sehr die vergrößerten Ventrikel, sondern vielmehr das dadurch verdrängte Gehirngewebe. Als Hirndruck (Abkürzung ICP für englisch Intracranial Pressure) wird der im Schädelinnern herrschende Druck bezeichnet. Ursächlich für eine Erhöhung können z.B. Hirntumore, Verletzungen, Abszesse oder Hirnblutungen sein. Aber auch eine Behinderung des Abflusses des Liquors führt zum Anstieg des Hirndrucks.
Ein plötzlicher starker Hirndruckanstieg, aber auch ein dauerhaft stark erhöhter Druck führt zur Kompression des Nervengewebes und damit zu einer sekundären Hirnschädigung. Patienten mit einem akut erhöhten Hirndruck, der sich oft durch Kopfschmerzen, Übelkeit und Erbrechen ankündigt, müssen sehr rasch behandelt werden.
Symptom eines dauerhaft mäßig erhöhten Hirndruckes kann neben Kopfschmerz und Erbrechen auch eine so genannte Stauungspapille (Schwellung im Bereich der Einmündung des Sehnervs in die Netzhaut) sein. Der Sehnerv steht in direkter Verbindung mit dem Gehirn. Ein erhöhter Hirndruck kann daher auch die Sehnervenfasern schädigen. Die Sehfunktion bleibt aber meist über längere Zeit ungestört und erst langfristig entsteht eine Einschränkung des Gesichtsfeldes und der Sehschärfe.
Treten Kopfschmerz Erbrechen und Sehstörungen zusammen auf, spricht man von einer „Hirndruck-Trias“. Als weitere Hirndruckzeichen seien Gangunsicherheit, Demenz oder Wesensveränderungen, Müdigkeit oder Bewusstseinsstörungen bis hin zum Koma, Atmungs-, Sprach oder Schluckbeschwerden sowie eine parkinsonähnliche Symptomatik genannt.
Ist die akute Drucksymptomatik durch einen Hirnwasseraufstau bedingt, dann kann man durch eine Nadelpunktion des Rückenmarkskanals und Einlage eines Schlauchsystems (Lumbalpunktion, Lumbaldrainage) oder durch Einlage eines Silikonschlauches in eine Hirnkammer über ein kleines Bohrloch in der Schädeldecke (Externe Ventrikeldrainage) eine rasche, wenn auch nur zeitweise Druckentlastung erreichen.

Bei fortbestehender Fehlregulation der Liquordynamik ist die Versorgung des Patienten mit einem speziellen Ventil-Schlauchsystem (Shunt) unumgänglich. Ein solcher Shunt verläuft unter der Haut vom Ventrikel in ein anderes Körperkompartiment (meist in den Bauchraum). Der überschüssige Liquor wird von dort in die Blutbahn aufgenommen und gelangt damit letztendlich genau dort hin, wo er auch auf natürlichem Wege resorbiert wird.
Das Ventil regelt, ab welchem Druck abfließt. Alle derzeit auf dem Weltmarkt vorhandenen Ventile sind rein mechanisch gesteuert. Die meisten haben einen voreingestellten Solldruck, bei einigen lässt sich der Druck von außen stufenweise einstellen. Ist der Druck im Kopf höher als der Ventilsolldruck, öffnet sich das Ventil und Liquor kann abfließen. Wenn allerdings der Druck im Bauchraum höher ist, kann sich das Ventil nicht öffnen und es fließt trotz des zu hohen Druckes im Kopf kein Liquor. Manchmal ist es daher erforderlich, den Liquor über eine große Vene in das Herz abzuleiten, zum Beispiel bei stark übergewichtigen Patienten, die längere Zeit liegen müssen.
Die bisherigen Betrachtungen haben außerdem außer Acht gelassen, dass ein Mensch nicht immer liegt, sondern vielmehr alle möglichen Körperhaltungen zwischen flachem Liegen und senkrechtem Stehen einnehmen kann. Im Liegen besteht kaum eine Höhendifferenz zwischen Ventrikel und Bauchhöhle. Stellt man sich nun Ventrikel und Bauchhöhle als zwei Wasserbecken vor, die über einen Schlauch miteinander verbunden sind, so lässt sich verstehen, was passiert, wenn der Patient sich aus dem Liegen in eine stehende Position bewegt. Im Liegen waren beide Wasserbecken auf gleicher Höhe, im Stehen dagegen kommt das Wasserbecken im Kopf etwa 50 cm höher als das Wasserbecken der Bauchhöhle. Das Wasserbecken, das für den Kopf steht, würde also ohne Regulation leer laufen.
Das Problem des zu hohen Hirndrucks wurde somit zwar gelöst, aber es tritt ein neues auf: Der Hirndruck ist jetzt deutlich zu tief (Syphon-Effekt). Dies kann in Einzelfällen bedrohlich Folgen haben. In der Mehrzahl der Fälle treten aber nur lästige klinische Beschwerden (die denen des zu hohen Hirndrucks sehr ähneln) auf. Die Wahrscheinlichkeit, dass ein Patient derartige Probleme entwickelt, wird in der Literatur mit sehr unterschiedlichen Zahlenwerten angegeben. Im Schnitt kann man aber sagen, dass es sich um eine Wahrscheinlichkeit von etwa 20% handelt.
Abhilfe schaffen heutzutage Ventile, die mit einem so genannten „Shunt-Assistenten“ (oder „Anti-Syphon-Device“) ausgerüstet sind. Solche Ventile öffnen im Stehen erst bei einer sehr viel höheren Druckdifferenz zwischen Kopf und Bauch als im Liegen.
Bei manchen Patienten mit einem Shunt kommt es trotz einer präzisen Ventilfunktion zu einer Über- oder Unterdrainage. Abhilfe schafft hier mitunter ein Ventil, bei dem man von außen den Solldruck einstellen kann („programmierbares“ Ventil). Der Vorteil der programmierbaren Ventile ist, dass man die Druckstufe ohne einen weiteren operativen Eingriff verstellen kann, wenn sich herausstellt, dass nach Implantation der Öffnungsdruck doch nicht der Situation des Patienten gerecht wird.
Ein Nachteil solcher Ventile ist, dass sich der Mechanismus durch MRT-Untersuchungen verstellen kann oder das Ventil durch die starke Magnetwirkung im Kernspintomogramm überhaupt unbrauchbar wird. Besonders bei Patienten mit NF2 kann dass ein entscheidender Nachteil sein, weil Kontrolluntersuchungen im MRT dadurch erschwert werden. Außerdem sind natürlich zusätzliche Mechanismen an einem Ventil auch stärker durch Verschleiß bedroht.
Shuntfunktion
Verschiedene Ventile besitzen außerdem noch eine so genannte Vorkammer. Hier kann der Arzt. zur Funktionsprüfung durch manuelle Kompression rasch eine kleine Menge Liquor durch das Shuntsystem befördern oder auch mit einer Kanüle Liquor zu Laboruntersuchungen entnehmen.
Der Shunt, das heißt die Gesamtheit des Schlauchsystems und des Ventils, wird in Vollnarkose unter der Haut verlegt. Die Operation dauert in der Regel weniger als 1 Stunde. Mit speziellen OP-Instrumenten ist es möglich, die Shunts minimal-invasiv zu verlegen. Es sind lediglich 3 - 4 kleine Hautschnitte notwendig.
Besondere Beschwerden machen Shunts nach ihrer Implantation nicht. Einige Patienten, die eine stärkere Narbenbildung haben, berichten manchmal über ein Spannungsgefühl unter der Haut, wenn sie den Kopf drehen
Die Komplikationsrate von Shunt-Systemen beträgt bis zu 35%. Das hört sich viel an, aber schließlich sind die Implantate auch lebenslang und ständig als Flüssigkeitsleiter aktiv. Neben einer Fehlplatzierung sind Unterbrechungen an verschiedenen Stellen möglich, Katheter und Ventile können verstopfen oder infizieren.
Bei einer Shuntinfektion muss in der Regel der gesamte Shunt entfernt und, wenn die Infektion sicher abgeklungen ist, ein neuer implantiert werden. Antibiotikabeschichtete Shunts und ein penible, auf höchste Sterilität bedachte Strategie im OP können diese Möglichkeit auch bei Risikopatienten veringern. Eine weitere Komplikation kann durch Überdrainage entstehen, schlimmstenfalls mit Einblutung in Form eines subduralen Hämatoms.
Mittlerweile existieren zwar über 100 verschiedene Ventilarten auf dem Markt, aber DAS Ventil schlechthin gibt es bis dato wohl noch nicht. Es handelt sich jeweils um den bestmöglichen Kompromiss. Die Entwicklung von Systemen, welche die natürliche Situation bei der Liquorableitung perfekt nachahmen, ist noch nicht in das Stadium einer klinischen Anwendung gekommen.
Schmerz
Bei NF2 kann es aus unterschiedlichen Gründen zu akuten oder lang anhaltenden (chronischen) Schmerzen kommen. Diese beiden Arten von Schmerz, akut oder chronisch, müssen getrennt betrachtet werden, obwohl sie natürlich zusammenhängen.
Akuter Schmerz hat eine Warnfunktion und hilft bei der Diagnose von Störungen im Körper. Bei NF2 kann es zu akuten Schmerzen durch Tumorwachstum kommen, entweder weil der Tumor wichtige Blutgefäße blockiert oder weil er Nerven reizt.
Wenn der akute Schmerz oft wiederkehrt, sollte er unterdrückt werden, medikamentös oder durch eine andere schmerzhemmende Therapie. Die Folgen eines nicht ausreichend behandelten Schmerzes dürfen nicht unterschätzt werden. So kann z. B. anhaltender Schmerz nach Operationen zu einer Verzögerung der Erholung führen und birgt darüber hinaus die Gefahr, dass der Schmerz chronisch wird.
Spezielle Schmerztherapeuten sollten aufgesucht werden, wenn man mit dem bisherigen Schmerzmedikament nicht mehr klarkommt oder wegen Schmerzen vor der Entscheidung zu einer Operation steht bzw. nach einer Operation die erhoffte Linderung ausbleibt. Je länger ein Schmerz besteht, desto differenzierter muss behandelt werden.
Schmerztherapeuten passen ihre Behandlung nicht nur der Schmerzintensität, sondern vor allem auch den Schmerzmechanismen an. Darum werden verschiedene Schmerzformen oft unterschiedlich behandelt und es wird sicherlich nie die eine Methode geben, die alle Schmerzen gleichermaßen lindert. Sie müssen abwägen, welche Therapie (medikamentöse oder nicht –medikamentös) sinnvoll ist.
Es ist nicht sinnvoll, Schmerzen auszuhalten!
Der Grund dafür ist, dass das Gehirn sich die Schmerzen sehr schnell merkt (Das Gehirn lernt also aus Erfahrung) und dann ein sogenanntes Schmerzgedächtnis entwickelt. Das heißt unser Gehirn, produziert immer wieder Warnsignale, sprich Schmerzen, obwohl die eigentliche Ursache gar nicht mehr vorhanden ist. Es hat sich dann eine eigene Krankheit entwickelt.
Es gibt sehr viele Schmerzmittel (Analgetika) für leichte bis unerträglich starke Schmerzen.
Die einfachste Behandlung von leichten Schmerzen sind Mittel wie Paracetamol und Ibuprofen, die rezeptfrei zu kaufen sind. Diese Mittel sind aber nicht ungefährlich, wenn man sie als Dauermedikation nimmt! Schwere Leber- oder Nierenschäden können die Folge sein.
Starke akute Schmerzen kann man mit Opioiden (zB Tramadol), als Steigerung auch mit Morphinen unterdrücken. Die Angst vor einer Sucht ist unbegründet, denn bei Schmerzen wirkt das Opioid oder Morphium anders als beim gesunden Menschen
Schmerztherapeuten setzen inzwischen in den meisten Fällen nicht mehr auf Ruhe und Schonung, sondern auf Eigeninitiative der Patienten. Wichtig sind – neben medizinischen und medikamentösen Behandlungsverfahren – psychologisch-verhaltensmedizinische Therapien sowie eine dem individuellen Leistungsvermögen angepasste Bewegungstherapie. Auch Techniken wie Yoga, autogenes Training oder Entspannungstechniken können Schmerzen lindern.
Welche medikamentösen und nicht-medikamentösen Verfahren und Strategien alleine oder in Kombination eingesetzt werden, hängt von der Schmerzform, der Intensität der Beschwerden, deren Spektrum sowie möglichen Begleitsymptomen und Begleiterkrankungen ab, die ebenfalls diagnostiziert und behandelt werden müssen.
Obwohl Tumoren des Hörnervs bei NF2-Betroffenen am häufigsten auftreten, können sich auch Geschwülste an anderen Nerven entwickeln, beispielsweise im Bereich der Hirnnerven, der Wirbelsäule und an Nerven, die Arme und Beine versorgen.
Die Tumoren werden Schwannome genannt, da sie sich aus den so genannten Schwannschen Zellen entwickeln. Diese Zellen unterstützen und schützen die Nervenzellen; sie isolieren die Nerven, damit diese Information leiten können.
Die Symptome, die ein Schwannom hervorruft, hängen von seiner Lage sowie von dem Druck ab, die der Tumor auf einen Nerv ausübt.
Wenn Schwannome an Hirnnerven auftreten (beispielsweise am Hörnerv), können sie Nervenfunktionen im Kopf- und Nackenbereich beeinträchtigen. Sind die Tumoren groß, können sie auf den Hirnstamm drücken und zu Ausfallerscheinungen am Körper führen.
Schwannome, die an peripheren Nerven wachsen, können Empfindungsstörungen in einem Teil des Körpers verursachen. Manche Tumoren werden so groß, dass sie auf das Rückenmark drücken und Gefühlsstörungen und Schwäche im Bereich der Beine verursachen.
Im Bereich der Nervenwurzeln der Wirbelsäule können Schwannome Gefühlsstörungen und Schmerzen in Armen und Beinen hervorrufen und zu Lähmungen führen.
Schwannome können auch an sehr kleinen Nerven sichtbar in oder auf der Haut wachsen. Diese Tumoren verursachen selten neurologische Symptome, können aber druckempfindlich sein.
Zusätzlich zu den Schwannomen können sich bei einer NF2 andere Tumorarten entwickeln, die sich aus der Hüllsubstanz des Gehirns und des Rückenmarks entwickeln. Diese so genannten Meningiome können je nach Lokalisation verschiedene neurologische Symptome hervorrufen.
Ähnlich wie bei Schwannomen kann der Arzt bei einer neurologischen Untersuchung Zeichen eines Tumors entdecken, bevor der Patient selbst Symptome bemerkt.
Akustikusneurinome sind die häufigsten gutartigen Tumoren der lateralen Schädelbasis. Über zwei Drittel der im Kleinhirnbrückenwinkel gelegenen Schwannome entfallen auf die Vestibularisschwannome.
Beidseitige Vestibularisschwannome sind das Hauptmerkmal der Neurofibromatose Typ 2 (NF2) und aufgrund der Kriterien des National Institutes of Health (NIH) gelten sie als das entscheidende Kriterium für diese Erkrankung.
Die Bezeichnung Akustikusneurinom (AN oder AKN) ist historisch begründet. Korrekter ist allerdings die Bezeichnung Vestibularisschwannom, da der Ursprung der Tumoren in den Schwannschen Hüllzellen (beteiligt am Aufbau markhaltiger und markloser Nervenfasern) des vestibulären Anteiles des Nervus vestibulocochlearis (8. Hirnnerven) liegt. Dieser vermittelt Informationen vom Gleichgewichtsorgan an das Gehirn, während der cochleäre Anteil die Hörimpulse leitet. Der 8. Hirnnerv verläuft zusammen mit dem Nerv für Gesichtsbewegungen (7. Hirnnerv, nervus facialis) vom Hirnstamm in den inneren Gehörgang (ein kleiner knöcherner Kanal im Felsenbein) bis zum Hör- und Gleichgewichtsorgan.
Meist beginnt das Wachstum des Tumors im inneren Gehörgang. Mit zunehmendem Wachstum dehnt sich der Tumor dann schließlich bis in den Kleinhirnbrückenwinkel aus. (Kleinhirnbrückenwinkel ist eine Beschreibung für den Raum zwischen Hirnstamm und Kleinhirn im Bereich der hinteren Schädelgrube).
In der Regel weisen Vestibularisschwannome ein unstetiges aber sehr langsames Wachstum auf. Mit einer Wachstumsgeschwindigkeit von weniger als 0,5 cm wachsen sie verdrängend. Sie werden infolgedessen, wenn überhaupt, erst sehr spät vital bedrohlich. Häufig beginnt die Beschreibung der Beschwerden mit einem Hörsturzereignis mit akuter einseitiger Verschlechterung des Hörvermögens und gleichzeitig einsetzendem Ohrgeräusch (Tinnitus).
Bei den Symptomen eines Vestibularisschwannomes steht die Hörminderung als Initialsymptom bei Weitem im Vordergrund. Besteht noch keine völlige Taubheit, so zeigt das das typische Audiogramm bei etwa 2/3 der Patienten einen Hochtonhörverlust ab 2000 Hz. Ebenso ist aber natürlich der Ausfall nur der tiefen Frequenzen oder der Ausfall einer einzigen Frequenz möglich. Der Verlauf der Hörverlustkurve, Ausmaß und Dauer der Hörstörung geben jedoch keinerlei Hinweis auf die Größe des Tumors.
In vielen Fällen kommt es unter einer die Durchblutung fördernden Infusionsbehandlung vorübergehend wieder zu einer Besserung. Im weiteren Verlauf treten dann meist erneut Hörsturzereignisse auf und es kommt zu einer zunehmenden Verschlechterung des Hörvermögens.
Schwindel und Gleichgewichtsbeschwerden sind die am zweithäufigsten beklagten Beschwerden und können auch gemeinsam mit der Hörverschlechterung und dem Tinnitus auftreten.
Es wird kontrovers diskutiert, inwiefern eine verminderte Durchblutung durch den erhöhten Druck auf dieses Gefäß im Inneren des Gehörganges für Symptome wie Hörsturz oder Schwindel bei frühen Vestibularisschwannomen verantwortlich gemacht werden kann
Mit schonenden elektrophysiologischen Messungsverfahren (BERA, AEP), die die elektrische Weiterleitung des Hörsignals vom Hörorgan zum Gehirn auswerten kann bei solchen Beschwerden schon frühzeitig der Verdacht auf ein Vestibularisschwannom gestellt und die beweisende bildgebende Diagnostik veranlasst werden.
Bei großen Tumoren können durch Druck auf das Kleinhirn oder den Hirnstamm noch zusätzlich Gangstörungen und Bewegungsstörungen auftreten.
Intradurale, extramedulläre Tumoren (meist Meningeome) treten meist vereinzelt auf. Sie sitzen oft der Hirnhaut an, aber diese kann auch durchwachsen werden. Die ebenfalls meist vereinzelt (bei Neurofibromatose von Recklinghausen) auftretenden Neurinome gehen v.a. von den zervikalen und lumbalen Nervenwurzeln aus.
Häufiger als Meningeome wachsen Neurinome als Sanduhrgeschwulst entlang der Wurzelscheide nach außen. Aufgrund des langsamen Wachstums dieser Prozesse mit der Möglichkeit einer Kompensation der raumfordernden Wirkung kontrastiert die Tumorgröße häufig mit Symptomarmut.
Häufig kommt es zu radikulären Symptomen, wobei der radikuläre Schmerz oft über lange Zeit das einzige Zeichen bleibt. Aufgrund der häufigen thorakalen Lokalisation führen Meningeome zu Paraparesen, Blasen- und Mastdarmstörunge . Spezielle Bilder ergeben sich bei Meningeomen des Übergangs vom Kopf zum Hals sowie bei den Kaudaneurinomen.
Bei den meisten Intraduralen, extramedullärenen Tumoren, besonders bei den überwiegend gutartigen Meningeomen oder Neurinomen ist die Operation die Therapie der Wahl. Nach Tumorentfernung können sich auch erhebliche neurologische Ausfälle wieder zurückbilden, insbesondere, wenn sie langsam entstanden sind.
Geschwülste im Bereich der Wirbelsäule und des Rückenmarks Neurofibromatose häufig. Sie sind zumeist gutartig, die häufigsten Typen sind Neurinome (von Nervenscheiden ausgehend) und Meningeome (von den Rückenmarkshäuten ausgehend). Diese Tumore verursachen Symptome durch Druck auf das Rückenmark oder die davon ausgehenden Nervenwurzeln. Die Möglichkeiten einer vollständigen operativen Entfernung im Rahmen eines mikrochirurgischen Eingriffs sind sehr gut. Neurinome nehmen ihren Ausgang von den spinalen Nervenwurzeln und können sich durch die Wirbellöcher sogar nach außerhalb des Spinalkanals ausdehnen ("Sanduhrgeschwulst"). Sie kommen in allen Abschnitten des Spinalkanals vor und zeigen sich vorwiegend im mittleren Lebensalter. Meningeome gehen von den Rückenmarkshäuten aus und sind zu 80% thorakal lokalisiert.
Darüber hinaus gibt es Tumore, die im Rückenmark selbst wachsen wie Ependymome. Eine vollständige Entfernung dieser "intramedullären" Tumore ist oft aber gut möglich (insbesondere bei den genannten Ependymomen), auch wenn sie bei sehr ausgedehnten und infiltrierend wachsenden Tumoren im Einzelfall mit einem erhöhten Risiko einer postoperativen Lähmung verbunden sein kann. In diesen Fällen wird eine "innere Entlastung" geschaffen und eine Erweiterungsplastik der harten Hirnhaut angelegt, um einen maximalen Effekt bei minimalem Risiko zu erreichen. Der Funktionserhalt steht dabei immer im Mittelpunkt!
Alle spinalen Tumoren werden mit mikrochirurgischer Technik und unter kontinuierlicher elektrophysiologischer Überwachung (Monitoring) durchgeführt. Die operativen Zugänge zur Entfernung dieser Tumore sind
Studie: Spinale Tumoren bei NF2


Helfen • Spenden • Mitmachen
Wir bringen Menschen mit gleichen Anliegen zusammen. Der rege Austausch untereinander schafft den Weg aus der Isolation, hilft, eine neue Normalität im Umgang mit der Krankheit und neue Lebensqualität zu entwickeln.
Angebote wie das Jugendcamp, Eltern-Kind-Seminare, Seminare für Erwachsene, das Mücketreffen, Online-Treffen und vieles mehr bieten dazu effektive Möglichkeiten.
